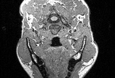
“Muscle-based facial animation considering fat layer structure captured by MRI” by Yarimizu, Ishibashi, Kubo, Maejima and Morishima
Conference:
Type(s):
Title:
- Muscle-based facial animation considering fat layer structure captured by MRI
Presenter(s)/Author(s):
Abstract:
Muscle-based facial animation [Lee et al. 1995] is one of the best approaches to realize facial expressions of characters. However, this approach does not consider the personal variation in facial tissue model such as skin thickness. So personal character in emotional expression can not be reflected in this model.
References:
1. Y. Lee, D. Terzopoulos, K. Waters. 1995. Realistic Modeling for Facial Animation. In Proceeding of SIGGRAPH ‘ 95, 55–62
2. E. Sifakis, I. Neverov R. Fedkiw. 2005. Automatic Determination of Facial Muscle Activations from Sparse Motion Capture Marker Data. In SIGGRAPH2005 Conference Proceeding, 417–425





